One year ago, we embarked on the digital denture journey. It’s been a year of learning, growing, and paying attention. We have learned what works, and what doesn’t. It has grown from a basic workflow, into something more niche, and paying attention to the basics of digital dentures will help us take the next step.
Why you should care
One reason. A better product for your patient. After a year of fabricating digital dentures, we haven’t actually seen a decrease in the amount of work that goes into the final product. In fact, it’s fair to say there may even be more steps on the lab side if you include all of the scanning, designing, milling, processing and file management that has to occur. But this extra work makes for a far better end product for your patients, so we’re all on board. This isn’t an article about the steps of our digital denture workflow. Instead, you’ll find how we use the tools that give us a digital denture, and use it to create a screw retained hybrid, our most popular choice of full arch restoration in the lab. You’ll also see why this is such a step above the conventional approach to this treatment.
Here are the steps:
For the purpose of this discussion, assume the patient has already had implants placed, and is ready to go to final restoration. First, we have a bite registration appointment, along with a verification jig to ensure the analogs in the model perfectly represent where they are in the mouth. This information comes back to the lab, and we begin our first step, which is to design a digital denture tryin.

This is often the first part that is confusing for clinicians. The most common question is, “we have the verified model, and taken a bite, why can’t we go ahead and have the bar made?” It’s a fair question, but we firmly believe that we protect the final case by making sure the bite is where the registration says it is, and the esthetics of the tryin are satisfactory before we create the internal titanium bar. The consequences of making the bar at this point could be numerous. We could find out the bite has changed, and now we have too much mass of metal in the wrong place, or if the vertical dimension of occlusion needs to change, we might have metal in the way of placing teeth. Of course we can fix this, but the case can become compromised. So at this appointment, you get back a digital denture tryin that is printed from resin, and is screw retained on one or two of the implants for stability. The time it takes to complete this step is negligible, and once the patient and clinician have approved it, we can begin the fabrication of the bar.

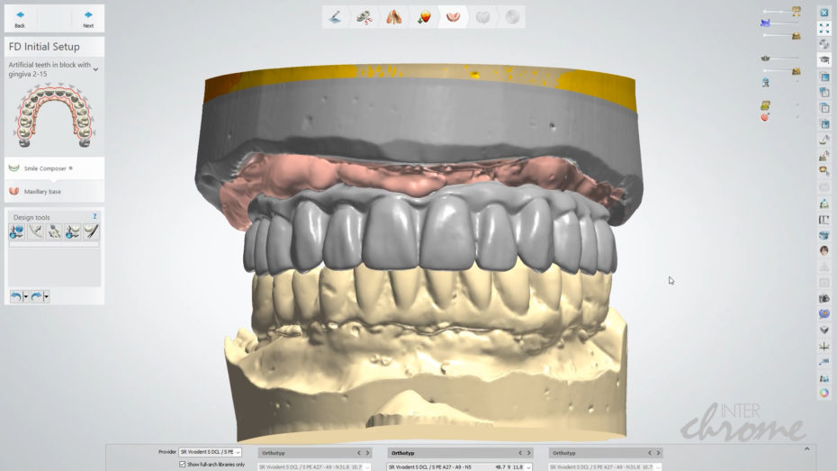
When we have the substructure in hand, we can now re-scan it as part of the master model, and this becomes the canvas for which our digital design will now be created.


We will print a prototype of the teeth from the previously approved tryin, only this time they will intimately fit on top of the bar.


Most breakages that we see in conventional acrylic hybrid dentures happen as a result of there not being enough denture tooth material in contact with the acrylic. Thus, they can break off. We design these cases so there is a maximum amount of material that comprises the teeth. Not to mention, they are all one piece in the end, which creates an incredible amount of strength, and makes a single tooth popping off almost impossible!

This prototype is waxed up over the titanium bar, and is returned for one final tryin. When we have verified that everything is functionally and esthetically good to go, it comes back to the lab for final processing. We take the same file that we previously printed the teeth prototype from, and this time we mill the same piece out of a beautiful multilayered PMMA that has a hybrid-ceramic infused into the material. This makes the teeth even harder than conventional denture teeth. When you combine this material, and the fact that it is a one piece unit that sits on top of the bar, you have a combination that is very hard to beat.

The teeth get characterized by hand under microscope by our highly skilled technicians, and waxed back into the same exact relation as the final tryin of the prototype. It then gets processed via Ivobase, which is our preferred method so we get maximum chemical bonding of the PMMA teeth to the denture base. It is finished with traditional means, and upon delivery, patients are ecstatic! They are blown away at the esthetics.

There is still one more benefit that they don’t think about at this point. As experts who understand the gain in masticatory function that a patient experiences due to this kind of treatment, we also understand that at some point, we will need to replace the teeth on the acrylic hybrid, because over time they will still wear. Just like tires on the best Mercedes-Benz, they will eventually need to be replaced. When the time comes, we already have the teeth digitally preserved in our file system, and we preschedule the case for a “Re-tread.” It comes back to you with new teeth waxed into place, just to verify, and from there we finish it. The patient is happy, and so are you, when you only have to invest a minimal amount of time to give back the smile they loved at delivery in pristine condition.
If you’d like to start a case with experts who understand how to make your life easier through digital technology, give us a call and we’ll help you get it scheduled. We’d love the chance to help you look like a hero to your patients!

Tags: CAD/CAM, Digital Dentistry, Digital Dentures, Digital Workflow, Education, hybrid denture, screw retained hybrid, Workflows
