This past weekend, Inter-Chrome Dental Lab extended a helping hand to our fellow Virginians at the 2018 Missions of Mercy that was held in Wise, Virginia. Being able to contribute to valuable missions like this is a cornerstone of our lab that we not only believe in, but look forward to being a part of.…
Bend Here, Not There!
Even the best frameworks need subtle adjustment from time to time. Because of inconsistencies in impression materials, and dimensional instability of stone models, and now as we’re learning new realities involving CAD/CAM materials, both for printing and milling, it is still a necessity to know how to properly adjust an RPD frame. Today, we’ll specifically…
Deep Emotional Bank Accounts
It was once said by a very wise technician that a great relationship between a dentist and his lab was like an “emotional bank account,” and it was measured in heart tissue and stomach lining. Socrates or Plato couldn’t have said it better! Even though a deep concept, it’s one that rings very true. Do…
Clinical Remounting Made Easy!
We recently had Dr. Jack Turbyfill in the lab giving one of his world renowned lectures on his technique involving the training denture, and his hydrocast relining method. We love this kind of information being delivered to our clinicians because it provides a new definition of what a quality denture really is! Dr. Turbyfill’s technique…
Guided Surgery With Inter-Chrome
You’ll likely to take a guess at a question on Jeopardy. You’ll even guess about what the weather is going to do tomorrow. If you’re really feeling good, you might guess at what your kid is willing to eat for dinner. But no way, no how, would you probably be willing to guess about implant…
Learn from Linda Miles!
It’s not every day that we find one of the most forward thinking leaders in dentistry right here in our backyard. Hailing from Virginia Beach, Linda Miles is joining us at Inter-Chrome Dental Lab for a half day workshop on Friday, April 6th, 2018, about some of her favorite topics. Specifically, how to stay on…
Learn From A Legend of Removable Dentistry!
We are pleased to announce that we will again host Dr. Jack Turbyfill at Inter-Chrome Dental Lab, on April 12-14, 2018! For anyone who doesn’t know, Dr. Jack Turbyfill is truly one of the living legends of dentistry. His methods are world renowned, and at the same time, a dying art. His course teaches clinicians…
This is not your father’s night guard…
Experience the precision yourself! “Chair time for delivery of a bite splint is proving to be 50 – 75% less!” While digital dentistry is not a new concept, it’s still thrilling when we see new digital technologies permeating techniques that we are still doing in an analog fashion. Days at Inter-Chrome are exciting as we…
A NO FAIL CHECKLIST FOR SENDING A REPAIR TO THE LAB
SAVING TIME AND MONEY SERIES “The lab’s on the line, and they don’t have what they need to do the repair…” Have you ever gotten that call as you try to finish your afternoon in the dental office? It’s usually not a call the lab technician enjoys making, nor is it a good one to…
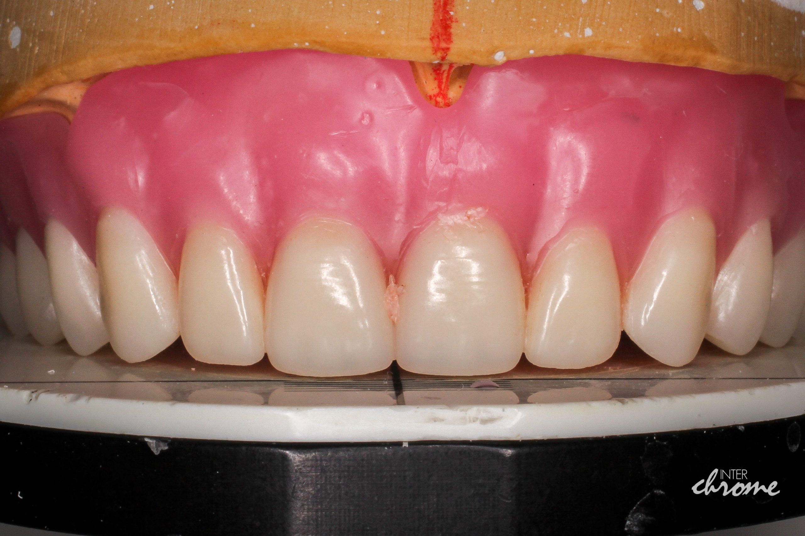
Nail Your Midline!
SAVING TIME AND MONEY SERIES Let’s address an area where you can have instant success in your denture making workflow… Nailing your midline! An area that we see consuming time and money is recording midlines in complete denture fabrication. It sounds easy enough right? Mark a midline. Did you know that more than half of…
